Endocarditis: Cuando el Corazón Lucha por Sobrevivir
En un suspiro, la vida puede cambiar. Eso lo sabemos de sobra, pero cuando ese suspiro involucra una infección dentro de tu corazón, es la vida misma la que puede pender de un hilo.
La endocarditis es una situación clínica muy seria. Si estas leyendo esto puede ser que tú o un ser querido haya sido diagnosticado con esta enfermedad. Entiendo lo estresante que puede ser esto. Tal vez solo quieras aprender un poco mas del tema. Es por eso que escribí este pequeño blog para ayudarte a ti y tu familia a tener una mejor idea de con qué se están enfrentando.
Descubriremos quiénes son más vulnerables, las clasificaciones actualizadas que guían a los médicos y el impacto en la vida de quienes deben enfrentarla. También hablaremos de un tema crítico: cómo la endocarditis afecta a las personas con falla renal terminal que dependen de la hemodiálisis para sobrevivir. Al terminar estarás mejor informado para tomar decisiones.
¿Qué es la Endocarditis?
La endocarditis es una enfermedad poco común pero devastadora que afecta el revestimiento interno del corazón, conocido como el endocardio.
Este trastorno suele comenzar con la entrada de bacterias u otros microorganismos en el torrente sanguíneo, que luego se adhieren a las válvulas cardíacas o a las superficies del corazón dañado.

A medida que estas bacterias crecen y se multiplican en el corazón, pueden causar inflamación, daño a las válvulas y, en casos graves, llevar a la insuficiencia cardíaca, accidentes cerebrovasculares o incluso la muerte.
Causas y Población de Mayor Riesgo
La endocarditis puede afectar a cualquier persona, pero ciertos factores de riesgo aumentan la probabilidad de contraerla:
- Las personas con enfermedades cardíacas preexistentes
- Persona con válvulas cardíacas dañadas o defectos cardíacos congénitos, están en mayor riesgo.
- Aquellos con antecedentes de endocarditis previa, es decir, que ya tuvieron una infección dentro del corazón antes y se recuperaron.
- Usuarios de drogas intravenosas.
- Personas con prótesis valvulares, es decir que ya hayan tenido un remplazo de una válvula de corazón antes.
- Quienes han sido sometidos a procedimientos dentales o quirúrgicos sin profilaxis antibiótica adecuada pueden ser más susceptibles.
- Personas que tienen falla renal, especialmente aquellos que requieren hemodiálisis (terapia de sustitución renal)
¿Cómo se diagnostica la Endocarditis?
El diagnóstico de la endocarditis es un proceso complejo que generalmente involucra una combinación de evaluación clínica, estudios de laboratorio y pruebas de imagen.
Aquí están los estudios más comunes que se realizan para diagnosticar la endocarditis:
- Historia clínica y evaluación física: Tu médico recopilará información sobre tus síntomas, tu historial médico, procedimientos cardíacos previos y factores de riesgo. También realizará una evaluación física para buscar signos de la enfermedad, como soplos cardíacos, fiebre, manchas en la piel y otros signos de infección.
- Análisis de sangre: Los análisis de sangre son una parte fundamental del diagnóstico de la endocarditis. Los siguientes son algunos de los estudios de sangre que se realizan:
- Hemocultivos: Se toman muestras de sangre en busca de bacterias o microorganismos que pueden estar causando la infección.
- Pruebas de laboratorio generales: Estas incluyen recuentos sanguíneos completos, pruebas de función hepática y renal, y marcadores de inflamación, como la proteína C reactiva (PCR) y la velocidad de sedimentación globular (VSG).
- Pruebas serológicas: Estas pruebas buscan anticuerpos específicos contra microorganismos que podrían causar endocarditis, como los anticuerpos antinucleares (ANA) o los anticuerpos anticitoplasma de neutrófilos (ANCA).
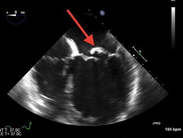
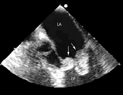
- Ecocardiograma: El ecocardiograma es una herramienta fundamental para el diagnóstico de la endocarditis. Puede ser de dos tipos:
- Ecocardiograma transtorácico (ETT): Utiliza ondas de sonido para crear imágenes del corazón desde el exterior del cuerpo, es un ultrasonido del corazón. Puede mostrar vegetaciones (acumulaciones de bacterias y tejido) en las válvulas cardíacas.

- Ecocardiograma transesofágico (ETE): Se realiza introduciendo una sonda a través del esófago para obtener imágenes más detalladas del corazón. Es especialmente útil para detectar vegetaciones pequeñas en las válvulas cardíacas.
- Catetersimo Cardiaco: Este estudio sirve para ver las arterias coronarias del corazón (las causantes de los infartos). En caso de estar dañadas u obstruidas pudieran requerir una intervención o cirugía de bypass.
- Pruebas de imagen adicionales: En algunos casos, se pueden realizar otras pruebas de imagen, como la resonancia magnética cardíaca (RMC) o la tomografía computarizada cardíaca (TCC), para evaluar el daño cardíaco y detectar complicaciones.

- Criterios de Duke: Se utilizan criterios clínicos y de laboratorio específicos, conocidos como los criterios de Duke, para ayudar en el diagnóstico de la endocarditis. Estos criterios consideran factores como los hallazgos clínicos, los resultados de los hemocultivos y las pruebas de imagen.
Clasificación de Duke y Nuevas Clasificaciones
La clasificación de Duke es una herramienta esencial para diagnosticar la endocarditis. Pero en los últimos años, se han desarrollado nuevas clasificaciones y criterios para una mejor precisión en el diagnóstico, como la clasificación por imágenes de tomografía computarizada y resonancia magnética. Estas innovaciones permiten una detección más temprana y una atención médica más específica.
¿Qué es la clasificación de Duke y para qué me sirve?
Los criterios de Duke son un conjunto de criterios clínicos y de laboratorio utilizados para ayudar en el diagnóstico de la endocarditis infecciosa.
Estos criterios fueron desarrollados para proporcionar una guía estructurada a los médicos y ayudar en la identificación de pacientes con endocarditis, especialmente cuando la presentación clínica es ambigua.
Los criterios de Duke se han revisado y actualizado a lo largo del tiempo para mejorar su precisión. Te dejo aquí cuales son esos criterios. Realmente es una cuestión muy técnica diseñada para médicos, sin embargo es importante que sepas que es un reto diagnóstico y de tratamiento incluso para los mas experimentados.
A continuación, se detallan los criterios de Duke actualizados:
Criterios Mayores:
- Hemocultivos positivos para microorganismos típicos de la endocarditis:
- Hemocultivos persistentemente positivos para bacterias que suelen causar endocarditis, como Streptococcus viridans, Streptococcus bovis, Streptococcus gallolyticus, Enterococcus, Staphylococcus aureus o HACEK (Haemophilus spp., Aggregatibacter spp., Cardiobacterium spp., Eikenella spp., Kingella spp.).
- Evidencia de endocarditis en ecocardiograma:
- Vegetaciones detectadas en el ecocardiograma transtorácico o transesofágico, o abscesos intracardíacos.

- Nueva regurgitación de una válvula cardíaca:
- Evidencia de regurgitación (flujo inverso) a través de una válvula cardíaca en el ecocardiograma que no estaba presente previamente.
- Criterios Menores:
- Fiebre: Temperatura corporal ≥ 38.0°C (100.4°F).
- Evidencia vascular: Fenómenos vasculares como embolias arteriales, infartos pulmonares, hemorragias conjuntivales, manchas de Roth (hemorragias retinianas), nódulos de Osler (nódulos dolorosos en los dedos), y manchas de Janeway (lesiones no dolorosas en las palmas de las manos y las plantas de los pies).


- Fenómenos inmunológicos: Glomerulonefritis, nódulos subcutáneos, manchas de Osler, manchas de Janeway.
- Evidencia microbiológica: Hemocultivos positivos que no cumplen los criterios mayores o serología positiva para microorganismos que causan endocarditis.
Criterios Definitivos de Endocarditis:
- Dos criterios mayores.
- Un criterio mayor y tres menores.
- Cinco criterios menores.
Criterios Posibles de Endocarditis:
- Un criterio mayor y uno o dos menores.
- Tres criterios menores.
Es importante destacar que estos criterios son una herramienta útil, pero no infalible, en el diagnóstico de la endocarditis. La evaluación clínica, los resultados de los estudios de imagen y otros hallazgos médicos también desempeñan un papel crucial en el diagnóstico.
Además, la endocarditis puede tener una presentación variable, lo que hace que su diagnóstico sea a veces desafiante.
Me han diagnosticado Endocarditis ¿Qué opciones de tratamiento tengo?
El tratamiento médico de la endocarditis, también conocida como endocarditis infecciosa, es una parte fundamental del manejo de esta enfermedad. Suele requerir de mucho tiempo y diversos especialistas.
El objetivo principal del tratamiento médico es eliminar la infección bacteriana que afecta las válvulas cardíacas y prevenir complicaciones graves, como la insuficiencia cardíaca, los accidentes cerebrovasculares y la propagación de la infección a otros órganos. Suele ser un reto enorme.
Aquí te explico en qué consiste el tratamiento médico de la endocarditis:
- Antibióticos: Los antibióticos son la base del tratamiento médico de la endocarditis. La elección de los antibióticos depende del tipo de bacteria que causa la infección, por lo que se deben realizar hemocultivos que son estudios de sangre para identificar el microorganismo responsable. El tratamiento suele ser a largo plazo, a menudo durante 4 a 6 semanas o más. Los antibióticos pueden administrarse por vía intravenosa (IV) en el hospital y, en algunos casos, por vía oral en el hogar una vez que el paciente se encuentra estable.
- Dosis y Duración: La dosis y la duración del tratamiento con antibióticos varían según la gravedad de la endocarditis, el tipo de bacteria y otros factores individuales del paciente. Es fundamental completar todo el curso de antibióticos según lo recetado por tu médico, incluso si los síntomas mejoran antes de finalizar el tratamiento.
- Tratamiento en el Hospital: Muchos pacientes con endocarditis requieren hospitalización para recibir antibióticos intravenosos y para monitorear su estado de salud. Durante la hospitalización, se controla de cerca la respuesta al tratamiento y se realizan pruebas de laboratorio y estudios de imagen para evaluar el progreso.

- Cirugía: En algunos casos, especialmente cuando hay complicaciones graves, como insuficiencia cardíaca, abscesos en el corazón o válvulas dañadas de manera irreparable, puede ser necesaria la cirugía de corazón abierto. La cirugía puede implicar la reparación o el reemplazo de las válvulas cardíacas afectadas.

- Prevención de Complicaciones: Durante el tratamiento, se toman medidas para prevenir complicaciones como la embolia (desprendimiento de vegetaciones que pueden viajar al cerebro o a otros órganos) y se pueden recetar anticoagulantes o antiplaquetarios según las necesidades individuales del paciente.
- Seguimiento Médico: Después del alta hospitalaria, el paciente debe continuar con el seguimiento médico para garantizar que la infección se haya erradicado por completo y que no haya recaídas. Esto puede incluir ecocardiogramas regulares para evaluar la salud cardíaca.
- Educación y Prevención: Es importante que los pacientes y sus familiares reciban educación sobre la endocarditis y cómo prevenirla en el futuro, especialmente si tienen factores de riesgo. Esto puede incluir prácticas de higiene bucal adecuadas y la profilaxis antibiótica antes de ciertos procedimientos dentales o médicos.
Endocarditis en Personas con Falla Renal en Hemodiálisis
Una persona que tiene falla renal, donde requiere de tratamiento sustitutivo conocido como hemodiálisis puede presentar desafíos adicionales. Usualmente requieren de varias sesiones por semana y estar conectados a varias sondas y catéteres para llevar a cabo la hemodiálisis.

Esto los pone en un riesgo adicional para desarrollar infecciones de todo tipo, siendo la endocarditis una de las mas peligrosas de todas.
La necesidad de acceso vascular constante puede aumentar el riesgo de infección, y la terapia antibiótica puede requerir ajustes específicos para evitar complicaciones.
La colaboración estrecha entre nefrólogos, cardiólogos y cirujanos cardiovasculares es crucial para gestionar eficazmente esta condición en esta población vulnerable.
En muchas ocasiones el tratamiento incluye cirugía a corazón abierto, cirugía mínimamente invasiva o tratamiento endovascular según la presentación y características de cada quien. Evidentemente el contexto es mas severo en estos pacientes y el riesgo de la cirugía puede aumentar considerablemente.
En este grupo de pacientes pueden presentarse complicaciones relativamente simples como la presencia de algún coágulo o vegetación pequeña en el corazón, hasta escenarios mas complejos como destrucción de válvulas y falla cardiaca.
Es por eso que hay que estar bien informado y rodeado de un grupo que se haya ganado tu confianza para dar seguimiento a cualquier situación con tu corazón.
¿En qué consiste la cirugía para endocarditis?
La cirugía de corazón abierto como se conoce es la técnica mas utilizada, donde se realiza una incisión en el medio del tórax y esternón para poder acceder al corazón. Se requiere de una máquina de corazón pulmón artificial para poder "dormir" el corazón y así poder trabajar dentro de él.

Los procedimientos a realizar varían enormemente de paciente a paciente, ya que la endocarditis puede afectar distintas estructuras en cada persona.
Pueden ser remplazos de válvulas con prótesis biológicas, reparación de las mismas en los casos que sea factible sin necesidad de remplazar las válvulas propiamente.
También se pueden realizar correcciones de fístulas, dilataciones o perforaciones del corazón entre muchas otras según la situación lo demande.
A pesar de ser un procedimiento complejo y en ocasiones de alto riesgo, la cirugía puede ser el único tratamiento efectivo en muchos pacientes donde todo lo demás ya falló.
¿Qué alternativas existen para el tratamiento?
Cirugía de corazón de mínima invasión en los casos donde esté indicado y pacientes bien seleccionados se pueden beneficiar enormemente de estos procedimientos, sobre todo con recuperación mas rápida, menos dolor, menos transfusiones sanguíneas.

Tratamiento Médico: En algunos pacientes es suficiente y no requieren de mas tratamiento invasivo. En otras personas donde el riesgo de la cirugía sea demasiado alto, se puede considerar este procedimiento.
Tratamiento endovascular: En los últimos años se han desarrollado nuevas técnicas de remplazo de válvula trans catéter, donde ya no se hace una cirugía abierta. Algunos ejemplos son: TAVI, MitraClip, Válvula mitral, etc.
Es importante mencionar que en la mayoría del los casos de endocarditis está contraindicado usar estas técnicas debido al proceso infeccioso e inflamatorio del corazón.
La Vida Después del Tratamiento
La recuperación después de la endocarditis puede ser un camino largo y desafiante. En algunos personas es mucho mas corto que otras por razones individuales, sin embargo, muchas personas pueden llevar una vida plena después de un tratamiento exitoso ya sea quirúrgico o mas conservador.
La adherencia a la terapia médica y el seguimiento médico regular son esenciales para garantizar una recuperación óptima.
La endocarditis puede tener una presentación variable, lo que hace que su diagnóstico sea a veces desafiante. Por lo tanto, el diagnóstico y el tratamiento de la endocarditis deben ser realizados por un equipo médico experimentado en enfermedades cardíacas infecciosas para garantizar una atención adecuada y oportuna.
Para llevar a casa
En este viaje hacia la recuperación de la endocarditis, es fundamental recordar que no estás solo. La relación médico-paciente, basada en la confianza y el respeto mutuo, es una fuerza poderosa en la lucha contra esta enfermedad. A medida que la ciencia avanza y los tratamientos evolucionan, el futuro es más esperanzador que nunca.
Así que, no dejes que el miedo te abrume, sino que le enfréntalo con la certeza de que hay un equipo de profesionales de la salud comprometidos en tu bienestar.
Juntos, como pacientes y médicos, podemos superar los desafíos y construir un camino hacia una vida plena y saludable. La esperanza late en cada latido de su corazón, y la ciencia está de su lado en esta travesía hacia la salud y la recuperación. Si deseas mas información o discutir tu caso, solicita tu video consulta gratuita con nuestros especialistas.

Dr. Alejandro Molina
Cirujano Cardiovascular. Especialista en procedimientos de Mínima Invasión
